

Antara Pengguna-Pengguna Yang Berjaya Dengan DermiXa+



Kulit jadi merah gelap, bersisik tebal & merekah – makin susah nak sembuh kalau dibiar.

Naik gelembung berair, bila pecah terus melekit & merah – tanda keradangan kronik dah mula.

Gatal tak henti siang malam, sampai luka berdarah & kulit jadi tebal kehitaman.

Jangkitan bakteria pada lapisan dalam kulit yang menyebabkan kawasan jadi merah, bengkak, panas dan sakit bila disentuh.

Garu berulang & jangkitan bakteria boleh buat luka makin besar, bernanah & lambat sembuh. Kalau makin serius, boleh sampai perlu rawatan klinikal.

Bila kulit gatal tak berhenti waktu malam, kau tak boleh tidur lena. Esoknya letih, tak fokus, kerja terganggu & mood harian jadi teruk.

Bila dibiarkan, kulit boleh jadi kasar, bersisik & meninggalkan parut kekal yang sukar pulih balik. Kulit dah tak sama macam dulu.

Ramai yang akan cuba krim steroid berulang kali. Tapi kalau guna lama, kulit makin nipis, sensitif & boleh rosak kekal.

Berdasarkan kajian, menunjukkan kadar penyakit kulit semakin meningkat, dengan ekzema menjejaskan sehingga 20% kanak-kanak dan psoriasis meningkat kepada 0.51% dalam kalangan dewasa. Penyakit ini memberi kesan serius tanpa mengira peringkat usia.

Memperkenalkan

Formula Khas Dari Sains & Teknologi Terkini Oleh Pakar² Untuk Mengatasi Pelbagai Masalah Kulit
Hanya Menggunakan Bahan² SemulaJadi

Anti-radang, kurangkan kegatalan & cerahkan parut

Penyembuh luka semula jadi, pulihkan kulit merekah

Antioksidan tinggi, lindungi kulit dari jangkitan

Antibakteria, elak kulit luka makin teruk



Cuci Bahagian Luka / Gatal Dengan Air Yang Bersih & Lap Hingga Kering

Sapukan Pada Bahagian Kulit Yang Bermasalah

Tunggu Hingga Gel Meresap Dalam Kulit


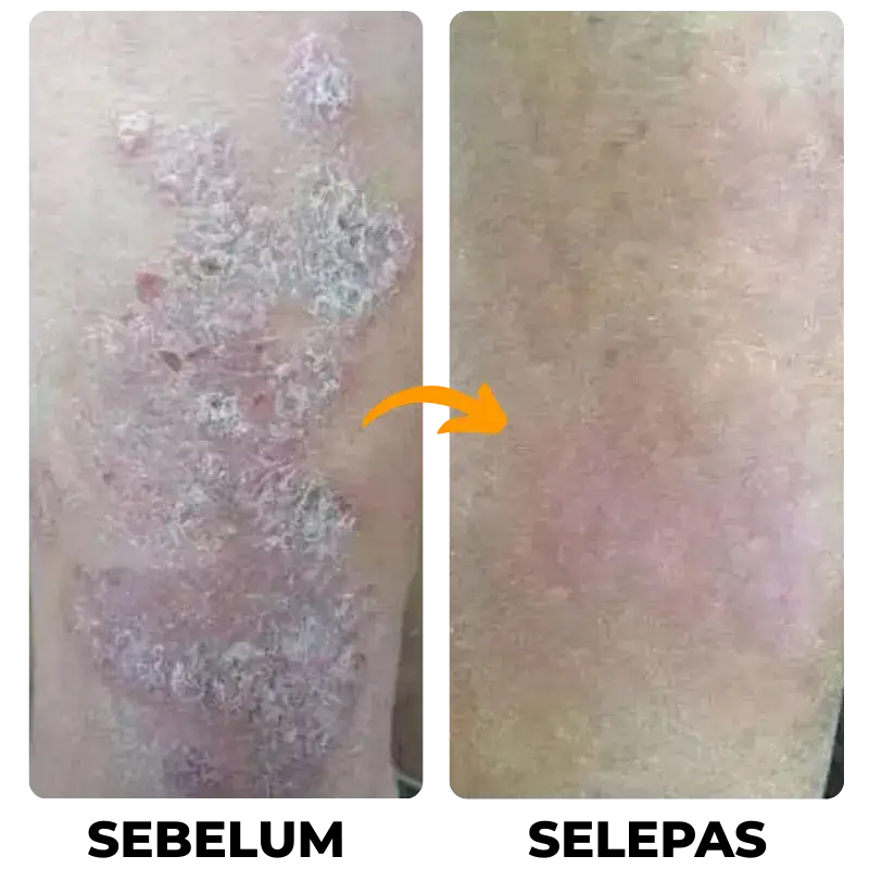
“Sebelum ni kawasan berlipat kat perut ni memang teruk gatal, mengelupas & gelap sangat Lepas konsisten sapu Dermixa+ pagi & malam, dalam masa 2 minggu je dah nampak perubahan.”

“Dulu kulit kat bahu ni kering teruk & menggelupas sampai rasa pedih bila berpeluh. Lepas sapu Dermixa+ hari-hari, tak sampai sebulan dah licin balik. Memang puas hati!”

“Tapak tangan acik dulu kering sangat sampai merekah & sakit nak buat kerja rumah. Lepas pakai Dermixa+ konsisten, alhamdulillah dah lembut & tak pedih lagi.”

“Aunty ada ekzema dekat lipatan tangan, tiap kali berpeluh mesti pedih & gatal sampai susah nak tidur. Lepas guna Dermixa+, kulit makin tenang, dah tak merekah & gatal pun hilang.”

“Mula-mula keluar biji bernanah, lepas tu makin merebak & rasa panas dekat tangan. Akak cuba sapu Dermixa+ hari-hari, alhamdulillah tak sampai sebulan dah mula kering & hilang parut.”

“Betis anak dulu memang teruk mengelupas, siap berdarah kalau digaru. Pakai Dermixa+ setiap hari lepas mandi, sekarang kulit dah makin licin & tak gatal langsung.”



Kami yakin dengan keberkesanan DermiXa+
sebab tu kami berani beri jaminan 60 Hari Moneyback Guarantee.
Kalau tak nampak sebarang keberkesanan langsung, tak perlu risau…
Refund 100% akan diproses, tanpa banyak soal.
✅ Beli tanpa was-was. Risiko kami tanggung, bukan anda.



LEBIH 100 PESAKIT KULIT YANG KAMI BANTU SETIAP HARI !!


HARGA ASAL RM149 SEBOTOL,
NAMUN…
ADA BERITA BAIK UNTUK SEMUA
PROMOSI INI TERHAD 50 ORANG SAHAJA..
PROMOSI AKAN TAMAT PADA
Yang Penting :
FREE COD
FREE POSTAGE
Untuk Seluruh Malaysia




Soalan Lazim Yang Sering Ditanya Pengguna Kami
✅ “Ya! Ramai pengguna dah berjaya hilangkan ekzema, luka & masalah kulit. Lihat testimoni mereka sendiri!”
✅ “Tiada! 100% bebas steroid, paraben & merkuri. Selamat & sesuai untuk kulit sensitif.”
✅ “Bergantung pada tahap masalah kulit. Biasanya, pengguna nampak perubahan seawal 3-5 hari!”
✅ “Ya! Kami yakin dengan produk ni. Jika tak nampak kesan dalam 60 hari, hubungi kami untuk jaminan kepuasan!
✅ “Ya! Sesuai untuk semua jenis kulit termasuk kulit sensitif, bayi, ibu mengandung & warga emas.”
✅ “Ya Sangat Boleh! Sesuai untuk kurap & kudis yang lama di kaki tu.